
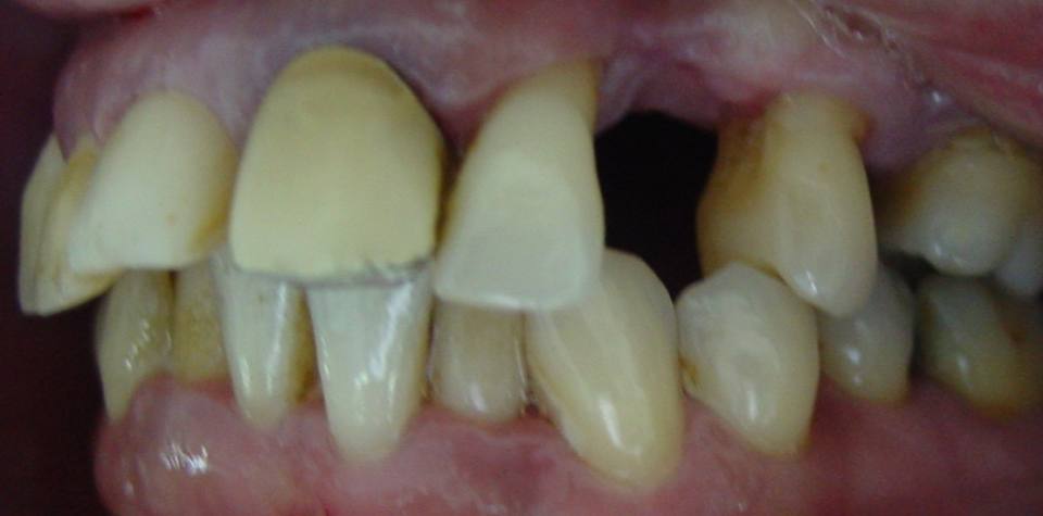
Paciente con coronas antiguas de metal-porcelana y ausencia del canino superior izquierdo.

Vista frontal del mismo caso.

Caso resuelto con coronas de metal-porcelana, vista frontal.

Vista latero-frontal del caso finalizado.

Vista frontal de la sonrisa de la paciente una vez colocadas las coronas definitivas.