
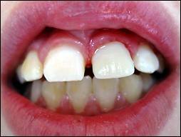
Vista frontal de una paciente de 8 años de edad que presenta una fractura del incisivo central superior izquierdo (pieza 21), se observa una fractura de la corona clínica del diente. Obsérvese también la gran inflamación que presenta el labio superior, han transcurrido sólo 3 horas desde la caída que provocó la fractura.

Colocación del dispositivo de goma (“dique”) para lograr un máximo aislamiento del diente que se va a restaurar.

Imagen del diente en cuestión, una vez finalizada la reconstrucción.